正规买篮球app
热门标签

皇冠信用登2代理_【前沿进展】rOC43-­CoV2 S:一种用于SARS-CoV-2中和试验的BSL-2代理病毒

时间:2024-10-01   阅读:14791   评论:152

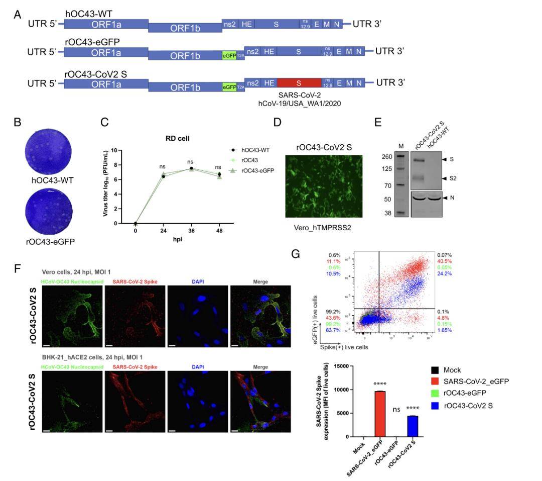
新2足球网址(www.huangguan.hk)为您提供最新登1登2登3代理网址,包括新2登1登2登3代理手机网址,新2登1登2登3代理备用网址,皇冠登1登2登3代理最新网址,2024年5月24日,《sPNAS》杂志上发表了一篇题为“Recombinant OC43 SARS-CoV-2 spike replacement virus: An improved BSL-2 proxy virus for SARS-CoV-2 neutralization assays”的研究论文皇冠信用登2代理。本研究构建了一种重组的人OC43病毒(rOC43-­CoV2 S),其天然的spike糖蛋白替换成SARS-CoV-2 spike。该病毒由于其在培养细胞和动物中的高度减毒而被指定为生物安全性2级。rOC43-CoV 2 S是一种改进的替代病毒,用于评估中和抗体,同时也是一种减毒活COVID粘膜候选疫苗,在小鼠和恒河猴中激发强烈的体液和粘膜抗体反应。

皇冠信用登2代理_【前沿进展】rOC43-­CoV2 S:一种用于SARS-CoV-2中和试验的BSL-2代理病毒

主要研究结果如下:

1、可复制重组OC43 病毒的生产

利用环状聚合酶延伸反应(CPER)技术,成功构建了一种重组OC43病毒(rOC43-eGFP),该病毒在ORF1b基因的3'端插入了增强型绿色荧光蛋白(eGFP)报告基因皇冠信用登2代理。再将SARS-CoV-2的Spike基因替换到rOC43-eGFP中,生成了rOC43-CoV2 S病毒。在细胞水平上展现出高度减毒。

皇冠信用登2代理_【前沿进展】rOC43-­CoV2 S:一种用于SARS-CoV-2中和试验的BSL-2代理病毒

展开全文

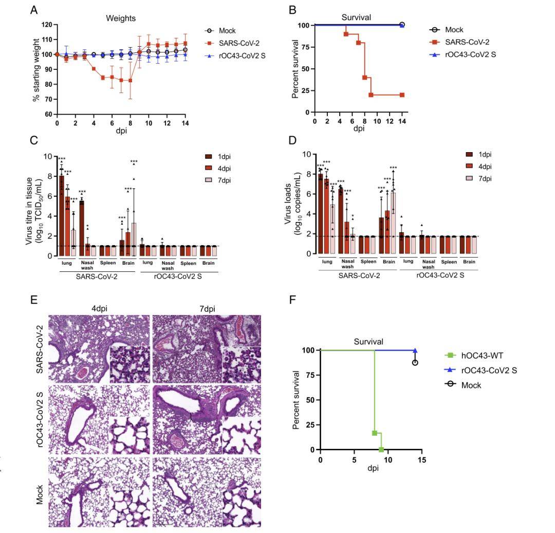
2、rOC43-­CoV2 S对小鼠无致病性

在hACE2转基因小鼠模型中,rOC43-CoV2 S感染的小鼠与对照组小鼠在体重和存活率上没有显著差异,表明该病毒在小鼠中不引起明显的疾病症状皇冠信用登2代理。rOC43-CoV2 S感染的小鼠则未观察到明显的组织病理学变化。

皇冠信用登2代理_【前沿进展】rOC43-­CoV2 S:一种用于SARS-CoV-2中和试验的BSL-2代理病毒

3、rOC43-­CoV2 S是一种有前景的减毒活疫苗载体

在小鼠体内皇冠信用登2代理,单剂量的rOC43-CoV2 S鼻内免疫能够诱导产生高滴度的抗SARS-CoV-2中和抗体,并能完全保护小鼠免受SARS-CoV-2的致命攻击

皇冠信用登2代理_【前沿进展】rOC43-­CoV2 S:一种用于SARS-CoV-2中和试验的BSL-2代理病毒

4、rOC43-­CoV2 S在恒河猴中诱发强烈的抗SARS-CoV-2 的血清和黏膜抗体

恒河猴接种疫苗后,表现出高度减毒皇冠信用登2代理。并可产生S蛋白特异性的血清和黏膜IgA和IgG抗体反应,能有效中和SARS-CoV-2。

皇冠信用登2代理_【前沿进展】rOC43-­CoV2 S:一种用于SARS-CoV-2中和试验的BSL-2代理病毒

皇冠信用登2代理_【前沿进展】rOC43-­CoV2 S:一种用于SARS-CoV-2中和试验的BSL-2代理病毒

原文链接:

本期编辑:可爱晨

上一篇:皇冠信用登2代理_花颖代理德国 FEIN 14.4V2/2.5A 3 21 74 015 01 0 电池保护盖

下一篇:皇冠信用登2代理_泰山官方:崔康熙因病回韩国治疗 未来2周金铉敏担任代理主帅

网友评论